Rémisztő orvosi műhibák
Az USA-ban átlagosan heti 40 olyan műtét zajlik, amit véletlenül rossz testrészen végeznek el.
Nancy Andrews rossz spermát kapott mesterséges megtermékenyítése során a meddőségi klinikán, ezért férje helyett egy idegen férfi gyerekét szülte meg a nő. Gyermekük, Jessica 2004-ben született. Erre kisbabájuk sötét bőrszínéből jöttek rá, majd DNS teszt is igazolta gyanújukat.
A 17 éves Jésica Santillán 2003-ban transzplantációs műtétje után két héttel meghalt, mivel a donor vércsoportja nem stimmelt. Az orvosok egyszerűen nem ellenőrízték ezt az operáció előtt.
A 47 éves veterán, Benjamin Houghtonnak tévedésből az egészséges jobb heréjét vágták le az orvosok. A férfi 200 ezer dolláros kártérítést kapott.

Donald Church egy tumorral a hasában érkezett a kórházba, ahonnan tumor nélkül, de egy 33 centis érfogóval gazdagabban távozott. A méretes eszközt 2000-ben valahogy benne felejtették a férfiban. Ő csak 97 ezer dollárt kapott.
Egy meg nem nevezett 67 éves asszonyon agyi angiográfiája után véletlenül egy nyitott szívműtétet is végrehajtott egy oktatókórház. Mielőtt hazaengedték volna érthetetlen módon betolták a műtőbe újra.

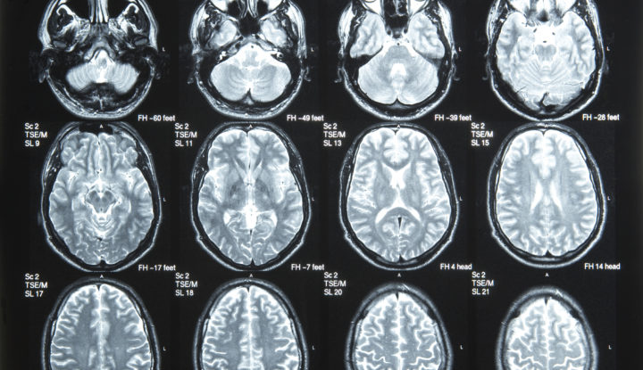
A Rhode Island Kórház orvosainak egy év alatt háromszor sikerült rossz oldalon végezni agyműtétet. Az utolsó eset 2007-ben történt, ekkor az idegsebész a bal helyett a jobb oldalon fúrta meg 82 éves betege koponyáját. Ő szerencsére “időben” észrevette mit csinál, bezárta a sebet majd folytatta a műtétet a megfelelő oldalon.
A leghíresebb talán az a floridai ügy a kilencvenes évekből, aminek során Willie King egészséges lábát vágták le az orvosok a beteg végtag helyett. Hibák láncolata vezetett idáig, majd habár a műtét során észrevették a bajt, de már késő volt. A férfinak végül több mint 1 millió dollárt ítélt meg a bíróság.

Egy minnesotai kórház a veséket cserélte fel. Samuel Carlsonból az egészséges veséjét operálták ki a daganatos helyett. Ez is csak azért derült ki, mert gyanúsan rendben volt amit kiműtöttek.
Forrás: oddee.com, Fotók: Thinkstock